英婦左眼腫痛求醫 揭眼球藏隱形眼鏡長達28年
是「永久性」隱形眼鏡?
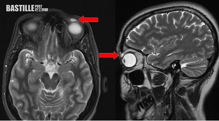
現時不少人都會佩戴隱形眼鏡,但佩戴後記得小心處理。一名42歲英國婦人因左眼出現腫痛以及下垂而求醫,醫生檢查後竟發現她眼內藏有一片隱形眼鏡,更有可能藏在眼內長達28年。
根據《英國醫學期刊》資料顯示,該名英國婦人起初因為左眼持續腫脹且有下垂症狀而求醫,觸碰時更會出現痛楚。醫生經磁力共振(MRI)檢查後竟發現婦人眼內藏有一片約8 mm×4 mm×6 mm的隱形眼鏡,醫生其後替婦人切開囊腫取出隱形眼鏡。
- 閱讀更多 -
往下看更多文章
來源 source: http://www.bastillepost.com
|
鍾意就快D Share啦!
|
|
|


